Егор Крид рассказал в социальных сетях, что получил травму ноги. Артисту пришлось обратиться в больницу.
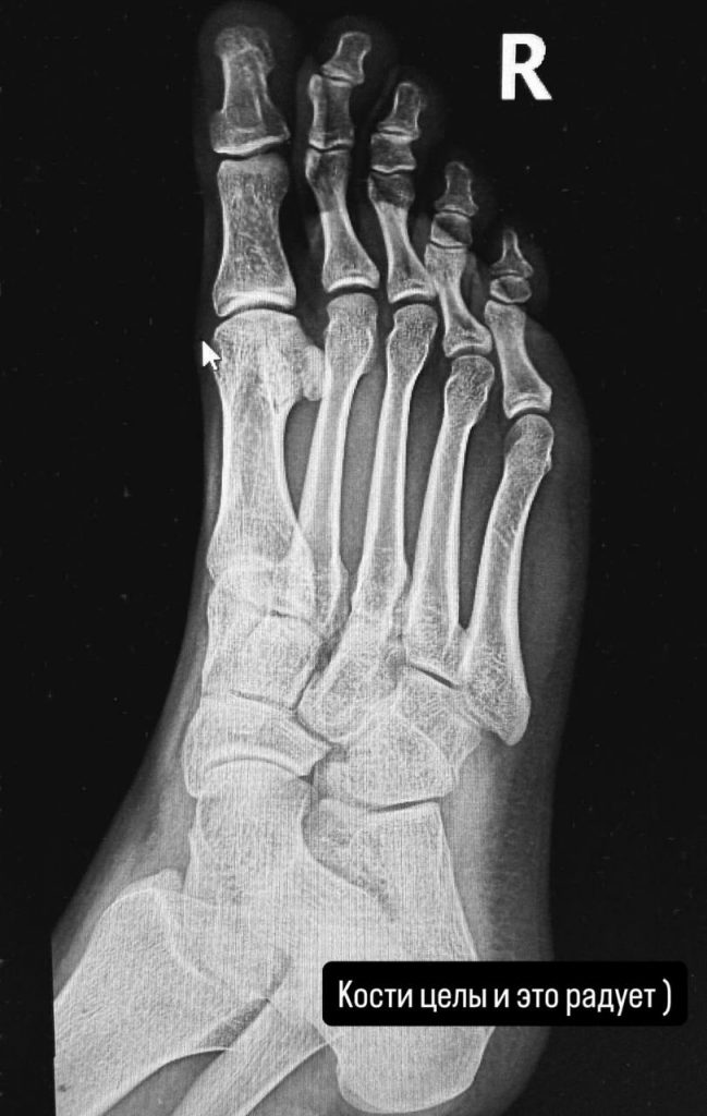
31-летний музыкант опубликовал фото из клиники, где он сидит в инвалидном кресле, нога плотно забинтована, а в руках держит кроссовок. В подписи Егор назвал произошедшее «небольшими приключениями перед полетом» и признался, что ему повезло: кости не пострадали.

Егор Крид. Фото: социальные сети 
Егор Крид. Фото: социальные сети
Позже исполнитель записал видеообращение для поклонников, где поблагодарил всех за поддержку и сообщил, что уже на пути в Москву: «Друзья, спасибо всем кто переживает и желает скорейшего выздоровления. Дохромал до самолета, вылетаем в Москву, все нормально. Чуть-чуть похромаю и все обязательно пройдет. Главное, что кости целы».
Егор также призвал аудиторию беречь здоровье, быть аккуратнее и внимательнее.
Ранее Егор Крид делился радостной новостью о пополнении в семье.

